This gene encodes a cytosolic, homodimeric, zinc-binding enzyme that catalyzes the hydrolysis of acylated L-amino acids to L-amino acids and an acyl group, and has been postulated to function in the catabolism and salvage of acylated amino acids. This gene is located on chromosome 3p21.1, a region reduced to homozygosity in small-cell lung cancer (SCLC), and its expression has been reported to be reduced or undetectable in SCLC cell lines and tumors. The amino acid sequence of human aminoacylase-1 is highly homologous to the porcine counterpart, and this enzyme is the first member of a new family of zinc-binding enzymes. Mutations in this gene cause aminoacylase-1 deficiency, a metabolic disorder characterized by central nervous system defects and increased urinary excretion of N-acetylated amino acids. Alternative splicing of this gene results in multiple transcript variants. Read-through transcription also exists between this gene and the upstream ABHD14A (abhydrolase domain containing 14A) gene, as represented in GeneID:100526760. A related pseudogene has been identified on chromosome 18.
| Pack Size | 100ul, 1ml, 20ul  | 
		
|---|---|
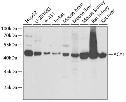
| Applications | ELISA, IF/ICC, WB  | 
		
| Host Species | Rabbit  | 
		
| Ig Isotype | IgG  | 
		
| Antibody Type | Polyclonal Antibody  | 
		
| Organism Species | Human  | 
		
| Concentration | –  | 
		
| Product Synonyms | ACY1  | 
		
| Observed Mol Wt | 46kDa  | 
		
| Alternative Names | ACY-1, ACY1, ACY1D, HEL-S-5  | 
		
| Immunogen (Antigen) | Recombinant protein  | 
		
| Format | Liquid  | 
		
| Buffer Formulation | 50% glycerol, PBS with 0.02% sodium azide, pH7.3  | 
		
| Reactivity | Human, Mouse, Rat  | 
		
| Uniprot ID | 95  | 
		
| Gene ID | Q03154  | 
		
| Purification | Antigen-specific affinity chromatography followed by Protein A affinity chromatography  | 
		
| Usage | For Research Use Only. Not for diagnostics or human use.  | 
		
| Shelf Life | 12 months at time of shipping  | 
		
| Shipping | Shipped in Dry Ice at -20 Degree Celsius  | 
		
| Storage | Store at -20 Degree Celsius. It is recommended to aliquot and store to avoid repeated freeze-thaw as it affects the stability of the antibody.  | 
		
| Research Areas | Cancer, Cell Biology, Immunology  | 
		
| KD/KO Validated | KD Validated  | 
		
| Disclaimer | The data indicated herein are as indicated and validated in our laboratory. These reagents are for research use only and not for in-vitro diagnostics or human use.  | 
		
				    
![COMT Rabbit Polyclonal Antibody [KD Validated]](https://www.kinesisdx.com/wp-content/uploads/2025/05/A23600_N27285-4_WB_01-370x444.jpg)
![EIF4B Rabbit Polyclonal Antibody [KD Validated]](https://www.kinesisdx.com/wp-content/uploads/2025/05/A25045_N31618-4_WB_03-370x444.jpg)
![Bcl-XL Rabbit Polyclonal Antibody [KD Validated]](https://www.kinesisdx.com/wp-content/uploads/2025/05/A22241_aP7267_KO-WB_01-370x444.jpg)
![CTCF Rabbit Polyclonal Antibody [KD Validated]](https://www.kinesisdx.com/wp-content/uploads/2025/05/A18627_N6060-4_KO-WB_01-370x444.jpg)
![CDX2 Rabbit Polyclonal Antibody [KD Validated]](https://www.kinesisdx.com/wp-content/uploads/2025/05/A1629_MP3070-02_N14929_WB_01-370x444.jpg)
![CYB5R3 Rabbit Polyclonal Antibody [KD Validated]](https://www.kinesisdx.com/wp-content/uploads/2025/05/A24755_N30496-4_WB_01-370x444.jpg)
Reviews
There are no reviews yet.