This gene encodes a flavoprotein essential for nuclear disassembly in apoptotic cells, and it is found in the mitochondrial intermembrane space in healthy cells. Induction of apoptosis results in the translocation of this protein to the nucleus where it affects chromosome condensation and fragmentation. In addition, this gene product induces mitochondria to release the apoptogenic proteins cytochrome c and caspase-9. Mutations in this gene cause combined oxidative phosphorylation deficiency 6 (COXPD6), a severe mitochondrial encephalomyopathy, as well as Cowchock syndrome, also known as X-linked recessive Charcot-Marie-Tooth disease-4 (CMTX-4), a disorder resulting in neuropathy, and axonal and motor-sensory defects with deafness and cognitive disability. Alternative splicing results in multiple transcript variants. A related pseudogene has been identified on chromosome 10.
| Pack Size | 100ul, 1ml, 20ul |
|---|---|
| Applications | ELISA, IHC-P, WB |
| Host Species | Rabbit |
| Ig Isotype | IgG |
| Antibody Type | Monoclonal Antibody |
| Organism Species | Human |
| Concentration | – |
| Product Synonyms | AIF |
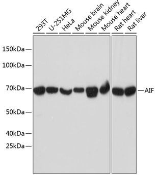
| Observed Mol Wt | 67kDa |
| Alternative Names | AIF, AUNX1, CMT2D, CMTX4, COWCK, COXPD6, DFNX5, NADMR, NAMSD, PDCD8, SEMDHL |
| Immunogen (Antigen) | synthetic peptide |
| Format | Liquid |
| Buffer Formulation | 0.05% BSA, 50% glycerol, PBS with 0.02% sodium azide, pH7.3 |
| Reactivity | Human, Mouse, Rat |
| Uniprot ID | 9131 |
| Gene ID | O95831 |
| Potency (Clone Number) | ARC0015 |
| Purification | Antigen-specific affinity chromatography followed by Protein A affinity chromatography |
| Usage | For Research Use Only. Not for diagnostics or human use. |
| Shelf Life | 12 months at time of shipping |
| Shipping | Shipped in Dry Ice at -20 Degree Celsius |
| Storage | Store at -20 Degree Celsius. It is recommended to aliquot and store to avoid repeated freeze-thaw as it affects the stability of the antibody. |
| Research Areas | Cell Biology, Developmental Biology, Immunology |
| KD/KO Validated | KD Validated |
| Disclaimer | The data indicated herein are as indicated and validated in our laboratory. These reagents are for research use only and not for in-vitro diagnostics or human use. |

![ISG15 Rabbit Monoclonal Antibody [KD Validated]](https://www.kinesisdx.com/wp-content/uploads/2025/05/A2416_ARC53794-01_KO-WB_01-370x444.jpg)
![LC3B Rabbit Monoclonal Antibody [KD Validated]](https://www.kinesisdx.com/wp-content/uploads/2025/05/A19665_ARC0144_WB_01-370x444.jpg)
![glucose-6-phosphate isomerase Rabbit Monoclonal Antibody [KD Validated]](https://www.kinesisdx.com/wp-content/uploads/2025/05/A4401_ARC0997_WB_01-370x444.jpg)
![Casein Kinase 2 alpha (CSNK2A1) Rabbit Monoclonal Antibody [KD Validated]](https://www.kinesisdx.com/wp-content/uploads/2025/05/A19683_ARC0163_WB_01-370x444.jpg)
![Heme Oxygenase 1 (HO-1/HMOX1) Rabbit Monoclonal Antibody [KD Validated]](https://www.kinesisdx.com/wp-content/uploads/2025/05/A19062_ARC53508-01_WB_01-370x444.jpg)
![COPB2 Rabbit PolyMonoclonal Antibody [KD Validated]](https://www.kinesisdx.com/wp-content/uploads/2025/05/A22646_ARC52625-01_ARC52626-01_WB_01-370x444.jpg)
Reviews
There are no reviews yet.