This gene encodes a magnesium-ion-dependent phosphatidic acid phosphohydrolase enzyme that catalyzes the penultimate step in triglyceride synthesis including the dephosphorylation of phosphatidic acid to yield diacylglycerol. Expression of this gene is required for adipocyte differentiation and it also functions as a nuclear transcriptional coactivator with some peroxisome proliferator-activated receptors to modulate expression of other genes involved in lipid metabolism. Mutations in this gene are associated with metabolic syndrome, type 2 diabetes, acute recurrent rhabdomyolysis, and autosomal recessive acute recurrent myoglobinuria (ARARM). This gene is also a candidate for several human lipodystrophy syndromes.
| Pack Size | 100ul, 1ml, 20ul |
|---|---|
| Applications | ELISA, WB |
| Host Species | Rabbit |
| Ig Isotype | IgG |
| Antibody Type | Monoclonal Antibody |
| Organism Species | Human |
| Concentration | – |
| Product Synonyms | Lipin 1 |
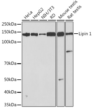
| Observed Mol Wt | 99kDa |
| Alternative Names | PAP1; Lipin 1 |
| Immunogen (Antigen) | Recombinant protein |
| Format | Liquid |
| Buffer Formulation | 0.05% BSA, 50% glycerol, PBS with 0.02% sodium azide, pH7.3 |
| Reactivity | Human, Mouse, Rat |
| Uniprot ID | 23175 |
| Gene ID | Q14693 |
| Potency (Clone Number) | ARC1945 |
| Purification | Antigen-specific affinity chromatography followed by Protein A affinity chromatography |
| Usage | For Research Use Only. Not for diagnostics or human use. |
| Shelf Life | 12 months at time of shipping |
| Shipping | Shipped in Dry Ice at -20 Degree Celsius |
| Storage | Store at -20 Degree Celsius. It is recommended to aliquot and store to avoid repeated freeze-thaw as it affects the stability of the antibody. |
| Research Areas | Cancer; Cell Biology; Immunology; Diabetes |
| KD/KO Validated | KD Validated |
| Disclaimer | The data indicated herein are as indicated and validated in our laboratory. These reagents are for research use only and not for in-vitro diagnostics or human use. |

![Annexin A1/ANXA1 Rabbit Monoclonal Antibody [KD Validated]](https://www.kinesisdx.com/wp-content/uploads/2025/05/A25918_ARC66904-01_WB_01-370x444.jpg)
![COPB2 Rabbit PolyMonoclonal Antibody [KD Validated]](https://www.kinesisdx.com/wp-content/uploads/2025/05/A22646_ARC52625-01_ARC52626-01_WB_01-370x444.jpg)
![Casein Kinase 2 alpha (CSNK2A1) Rabbit Monoclonal Antibody [KD Validated]](https://www.kinesisdx.com/wp-content/uploads/2025/05/A19683_ARC0163_WB_01-370x444.jpg)
![IRAK4 Rabbit Monoclonal Antibody [KD Validated]](https://www.kinesisdx.com/wp-content/uploads/2025/05/A20839_ARC51289-01_KO-WB_01-370x444.jpg)
![CDX2 Rabbit Monoclonal Antibody [KD Validated]](https://www.kinesisdx.com/wp-content/uploads/2025/05/A20222_ARC3070_KO-WB_01-370x444.jpg)
![DNMT1 Rabbit Monoclonal Antibody [KD Validated]](https://www.kinesisdx.com/wp-content/uploads/2025/05/A19679_ARC51348-01_WB_02-370x444.jpg)
Reviews
There are no reviews yet.