Nucleoside diphosphate kinase (NDK) exists as a hexamer composed of ‘A’ (encoded by NME1) and ‘B’ (encoded by this gene) isoforms. Multiple alternatively spliced transcript variants have been found for this gene. Read-through transcription from the neighboring upstream gene (NME1) generates naturally-occurring transcripts (NME1-NME2) that encode a fusion protein comprised of sequence sharing identity with each individual gene product.
| Pack Size | 100ul, 1ml, 20ul |
|---|---|
| Applications | ELISA, WB |
| Host Species | Rabbit |
| Ig Isotype | IgG |
| Antibody Type | Monoclonal Antibody |
| Organism Species | Human |
| Concentration | – |
| Product Synonyms | NME2/NM23B |
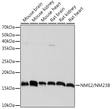
| Observed Mol Wt | 17kDa |
| Alternative Names | PUF; NDKB; NDPKB; NM23B; NDPK-B; NM23-H2; NME2/NM23B |
| Immunogen (Antigen) | synthetic peptide |
| Format | Liquid |
| Buffer Formulation | 0.05% BSA, 50% glycerol, PBS with 0.02% sodium azide, pH7.3 |
| Reactivity | Mouse, Rat |
| Uniprot ID | 4831 |
| Gene ID | P22392 |
| Potency (Clone Number) | ARC1412 |
| Purification | Antigen-specific affinity chromatography followed by Protein A affinity chromatography |
| Usage | For Research Use Only. Not for diagnostics or human use. |
| Shelf Life | 12 months at time of shipping |
| Shipping | Shipped in Dry Ice at -20 Degree Celsius |
| Storage | Store at -20 Degree Celsius. It is recommended to aliquot and store to avoid repeated freeze-thaw as it affects the stability of the antibody. |
| Research Areas | Cell Biology; Developmental Biology; Immunology |
| Disclaimer | The data indicated herein are as indicated and validated in our laboratory. These reagents are for research use only and not for in-vitro diagnostics or human use. |

![CDX2 Rabbit Monoclonal Antibody [KD Validated]](https://www.kinesisdx.com/wp-content/uploads/2025/05/A20222_ARC3070_KO-WB_01-370x444.jpg)
![KMT5A/SETD8 Rabbit Monoclonal Antibody [KD Validated]](https://www.kinesisdx.com/wp-content/uploads/2025/05/A4136_ARC0916_WB_01-370x444.jpg)
![MCM6 Rabbit Monoclonal Antibody [KD Validated]](https://www.kinesisdx.com/wp-content/uploads/2025/05/A21112_ARC3057_WB_01-370x444.jpg)
![Annexin A1/ANXA1 Rabbit Monoclonal Antibody [KD Validated]](https://www.kinesisdx.com/wp-content/uploads/2025/05/A25918_ARC66904-01_WB_01-370x444.jpg)
![BUB1 Rabbit Monoclonal Antibody [KD Validated]](https://www.kinesisdx.com/wp-content/uploads/2025/05/A23198_ARC59688-01_KO-WB_01-370x444.jpg)
![ISG15 Rabbit Monoclonal Antibody [KD Validated]](https://www.kinesisdx.com/wp-content/uploads/2025/05/A2416_ARC53794-01_KO-WB_01-370x444.jpg)
Reviews
There are no reviews yet.