This gene encodes a member of the tumor necrosis factor receptor superfamily. The encoded protein activates nuclear factor kappa-B and mitogen-activated protein kinase 8 (also called c-Jun N-terminal kinase 1), and induces cell apoptosis. Through its death domain, the encoded receptor interacts with tumor necrosis factor receptor type 1-associated death domain (TRADD) protein, which is known to mediate signal transduction of tumor necrosis factor receptors. Knockout studies in mice suggest that this gene plays a role in T-helper cell activation, and may be involved in inflammation and immune regulation.
| Pack Size | 100ul, 1ml, 20ul |
|---|---|
| Applications | ELISA, WB |
| Host Species | Rabbit |
| Ig Isotype | IgG |
| Antibody Type | Polyclonal Antibody |
| Organism Species | Human |
| Product Synonyms | TNFRSF21 |
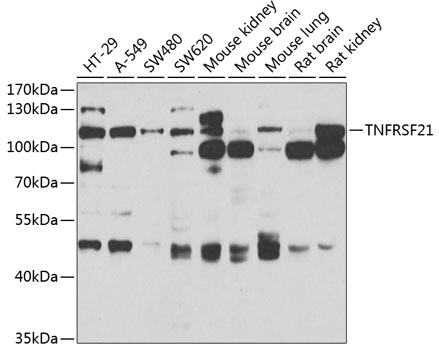
| Observed Mol Wt | 72kDa |
| Alternative Names | DR6; CD358; BM-018; TNFRSF21 |
| Immunogen (Antigen) | Recombinant protein |
| Format | Liquid |
| Buffer Formulation | 50% glycerol, PBS with 0.02% sodium azide, pH7.3 |
| Reactivity | Human, Mouse, Rat |
| Uniprot ID | 27242 |
| Gene ID | O75509 |
| Purification | Antigen-specific affinity chromatography followed by Protein A affinity chromatography |
| Usage | For Research Use Only. Not for diagnostics or human use. |
| Shelf Life | 12 months at time of shipping |
| Shipping | Shipped in Dry Ice at -20 Degree Celsius |
| Storage | Store at -20 Degree Celsius. It is recommended to aliquot and store to avoid repeated freeze-thaw as it affects the stability of the antibody. |
| Research Areas | Immunology, Inflammation, Neuroscience |
| KD/KO Validated | KD Validated |
| Disclaimer | The data indicated herein are as indicated and validated in our laboratory. These reagents are for research use only and not for in-vitro diagnostics or human use. |


![COMT Rabbit Polyclonal Antibody [KD Validated]](https://www.kinesisdx.com/wp-content/uploads/2025/05/A23600_N27285-4_WB_01-370x444.jpg)
![EGFR Rabbit Polyclonal Antibody [KD Validated]](https://www.kinesisdx.com/wp-content/uploads/2025/05/A11082_N11999-5_WB_01-370x444.jpg)

![ABCA6 Rabbit Polyclonal Antibody [KD Validated]](https://www.kinesisdx.com/wp-content/uploads/2025/05/A21243_Q12592_WB_01-370x444.jpg)
![EIF4B Rabbit Polyclonal Antibody [KD Validated]](https://www.kinesisdx.com/wp-content/uploads/2025/05/A25045_N31618-4_WB_03-370x444.jpg)
Reviews
There are no reviews yet.