Predicted to enable RNA binding activity and RNA helicase activity. Predicted to be located in cytoplasm and nucleus. Predicted to be integral component of membrane. Implicated in orofaciodigital syndrome V.
| Pack Size | 100ul, 1ml, 20ul |
|---|---|
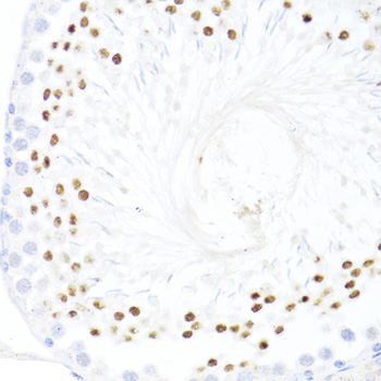
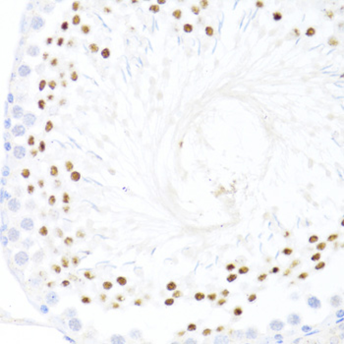
| Applications | ELISA, IHC-P, WB |
| Host Species | Rabbit |
| Ig Isotype | IgG |
| Antibody Type | Polyclonal Antibody |
| Organism Species | Human |
| Product Synonyms | DDX59 |
| Observed Mol Wt | 69kDa |
| Alternative Names | OFD5; ZNHIT5; DDX59 |
| Immunogen (Antigen) | Recombinant protein |
| Format | Liquid |
| Buffer Formulation | 50% glycerol, PBS with 0.01% thimerosal, pH7.3 |
| Reactivity | Human, Rat |
| Uniprot ID | 83479 |
| Gene ID | Q5T1V6 |
| Purification | Antigen-specific affinity chromatography followed by Protein A affinity chromatography |
| Usage | For Research Use Only. Not for diagnostics or human use. |
| Shelf Life | 12 months at time of shipping |
| Shipping | Shipped in Dry Ice at -20 Degree Celsius |
| Storage | Store at -20 Degree Celsius. It is recommended to aliquot and store to avoid repeated freeze-thaw as it affects the stability of the antibody. |
| Research Areas | Cell Biology, Developmental Biology, Immunology |
| KD/KO Validated | KD Validated |
| Disclaimer | The data indicated herein are as indicated and validated in our laboratory. These reagents are for research use only and not for in-vitro diagnostics or human use. |

![ABCG2 Rabbit Polyclonal Antibody [KD Validated]](https://www.kinesisdx.com/wp-content/uploads/2025/05/A23066_N21785-6_WB_01-370x444.jpg)
![CLIC1 Rabbit Polyclonal Antibody [KD Validated]](https://www.kinesisdx.com/wp-content/uploads/2025/05/A23677_N26852-4_IF_01-370x444.jpg)
![ABCA6 Rabbit Polyclonal Antibody [KD Validated]](https://www.kinesisdx.com/wp-content/uploads/2025/05/A21243_Q12592_WB_01-370x444.jpg)
![EGFR Rabbit Polyclonal Antibody [KD Validated]](https://www.kinesisdx.com/wp-content/uploads/2025/05/A11577_aN1626-8_KO-WB_01-370x444.jpg)
![Bcl9 Rabbit Polyclonal Antibody [KD Validated]](https://www.kinesisdx.com/wp-content/uploads/2025/05/A25229_N31416-5_WB_01-370x444.jpg)
![EGFR Rabbit Polyclonal Antibody [KD Validated]](https://www.kinesisdx.com/wp-content/uploads/2025/05/A21740_aN1626-7_WB_01-370x444.jpg)
Reviews
There are no reviews yet.