| Pack Size | 100ul, 1ml, 200ul, 20ul |
|---|---|
| Applications | WB; IHC; ICC; IP. |
| Host Species | Rabbit |
| Antibody Type | Polyclonal Antibody |
| Organism Species | Homo sapiens (Human) |
| Concentration | 0.5 mg/ml |
| Product Synonyms | Endothelial Differentiation Related Factor 1 (EDF1) |
| Alternative Names | MBF1; Multiprotein Bridging Factor-1 |
| Immunogen (Antigen) | Endothelial Differentiation Related Factor 1 |
| Buffer Formulation | 0.01M PBS, 50% glycerol., containing 0.05% Proclin-300, pH7.4 |
| Reactivity | Mu;Ra;Po; |
| Uniprot ID | O60869 |
| Gene ID | 8721 |
| Purification | Antigen-specific affinity chromatography followed by Protein A affinity chromatography |
| Usage | For Research Use Only. Not for diagnostics or human use. |
| Shelf Life | 12 months at time of shipping |
| Shipping | Shipped in Dry Ice at -20 Degree Celsius |
| Storage | Store at -20 Degree Celsius. It is recommended to aliquot and store to avoid repeated freeze-thaw as it affects the stability of the antibody. |
| Research Areas | Cell Biology, Developmental Biology, Immunology |
| Disclaimer | The data indicated herein are as indicated and validated in our laboratory. These reagents are for research use only and not for in-vitro diagnostics or human use. |
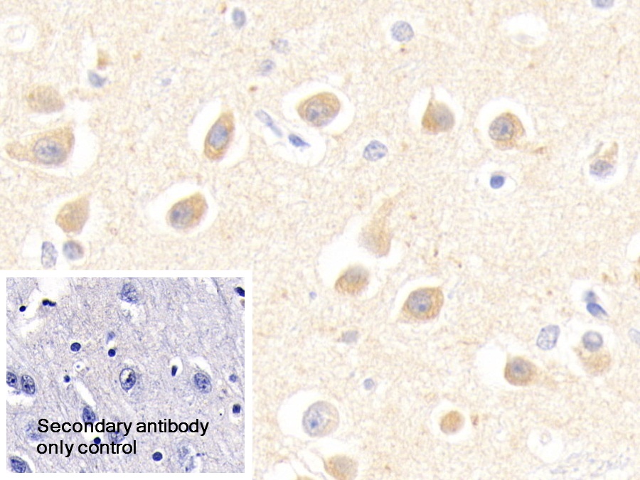
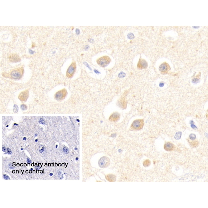
Endothelial Differentiation Related Factor 1 (EDF1) Human Polyclonal Antibody
Price range: $20.00 through $210.00

![Bcl-2 Rabbit Polyclonal Antibody [KD Validated]](https://www.kinesisdx.com/wp-content/uploads/2025/05/A21592_N1199-4C_WB_01-370x444.jpg)
![CLIC1 Rabbit Polyclonal Antibody [KD Validated]](https://www.kinesisdx.com/wp-content/uploads/2025/05/A23677_N26852-4_IF_01-370x444.jpg)
![EGFR Rabbit Polyclonal Antibody [KD Validated]](https://www.kinesisdx.com/wp-content/uploads/2025/05/A11577_aN1626-8_KO-WB_01-370x444.jpg)
![ABCG2 Rabbit Polyclonal Antibody [KD Validated]](https://www.kinesisdx.com/wp-content/uploads/2025/05/A23066_N21785-6_WB_01-370x444.jpg)
![RHOT1/MIRO1 Rabbit Polyclonal Antibody [KD Validated]](https://www.kinesisdx.com/wp-content/uploads/2025/05/A22551_N1681810-11_WB_01-370x444.jpg)
![EGFR Rabbit Polyclonal Antibody [KD Validated]](https://www.kinesisdx.com/wp-content/uploads/2025/05/A11576_Q722_WB_01-370x444.jpg)
Reviews
There are no reviews yet.