| Pack Size | 100ul, 1ml, 200ul, 20ul |
|---|---|
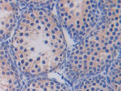
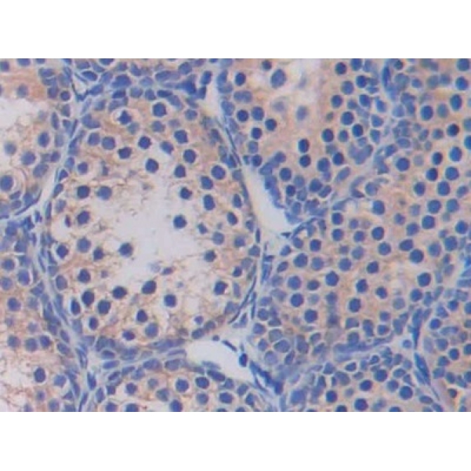
| Applications | WB; IHC; ICC; IP. |
| Host Species | Rabbit |
| Antibody Type | Polyclonal Antibody |
| Organism Species | Mus musculus (Mouse) |
| Concentration | 0.5 mg/ml |
| Product Synonyms | Fatty Acid Synthase (FASN) |
| Alternative Names | FAS; OA519; SDR27X1; Short Chain Dehydrogenase/Reductase Family 27X, Member 1; S-acetyltransferase; 3-oxoacyl synthase; Oleoyl hydrolase; Enoyl-acyl-carrier-protein reductase |
| Immunogen (Antigen) | Fatty Acid Synthase |
| Buffer Formulation | 50% glycerol., containing 0.02% NaN3, PBS, pH7.4 |
| Reactivity | Ra; |
| Uniprot ID | P19096 |
| Gene ID | 14104 |
| Purification | Antigen-specific affinity chromatography followed by Protein A affinity chromatography |
| Usage | For Research Use Only. Not for diagnostics or human use. |
| Shelf Life | 12 months at time of shipping |
| Shipping | Shipped in Dry Ice at -20 Degree Celsius |
| Storage | Store at -20 Degree Celsius. It is recommended to aliquot and store to avoid repeated freeze-thaw as it affects the stability of the antibody. |
| Research Areas | Cell Biology, Developmental Biology, Immunology |
| Disclaimer | The data indicated herein are as indicated and validated in our laboratory. These reagents are for research use only and not for in-vitro diagnostics or human use. |
Fatty Acid Synthase (FASN) Mouse Polyclonal Antibody
Price range: $20.00 through $210.00

![CYB5R3 Rabbit Polyclonal Antibody [KD Validated]](https://www.kinesisdx.com/wp-content/uploads/2025/05/A24755_N30496-4_WB_01-370x444.jpg)
![CAT1 Rabbit Polyclonal Antibody [KD Validated]](https://www.kinesisdx.com/wp-content/uploads/2025/05/A25422_N32165-5_WB_01-370x444.jpg)
![ABCA6 Rabbit Polyclonal Antibody [KD Validated]](https://www.kinesisdx.com/wp-content/uploads/2025/05/A21243_Q12592_WB_01-370x444.jpg)
![COX IV Rabbit Polyclonal Antibody [KD Validated]](https://www.kinesisdx.com/wp-content/uploads/2025/05/A22871_N14734-4_KO-WB_01-370x444.jpg)
![EIF4B Rabbit Polyclonal Antibody [KD Validated]](https://www.kinesisdx.com/wp-content/uploads/2025/05/A25045_N31618-4_WB_03-370x444.jpg)
![Bcl-2 Rabbit Polyclonal Antibody [KD Validated]](https://www.kinesisdx.com/wp-content/uploads/2025/05/A21592_N1199-4C_WB_01-370x444.jpg)
Reviews
There are no reviews yet.