The protein encoded by this gene is a single stranded DNA-binding protein that binds to multiple DNA elements, including the far upstream element (FUSE) located upstream of c-myc. Binding to FUSE occurs on the non-coding strand, and is important to the regulation of c-myc in undifferentiated cells. This protein contains three domains, an amphipathic helix N-terminal domain, a DNA-binding central domain, and a C-terminal transactivation domain that contains three tyrosine-rich motifs. The N-terminal domain is thought to repress the activity of the C-terminal domain. This protein is also thought to bind RNA, and contains 3′-5′ helicase activity with in vitro activity on both DNA-DNA and RNA-RNA duplexes. Aberrant expression of this gene has been found in malignant tissues, and this gene is important to neural system and lung development. Binding of this protein to viral RNA is thought to play a role in several viral diseases, including hepatitis C and hand, foot and mouth disease. Alternative splicing results in multiple transcript variants.
| Pack Size | 100ul, 1ml, 20ul |
|---|---|
| Applications | ELISA, IF/ICC, IHC-P, IP, WB |
| Host Species | Rabbit |
| Ig Isotype | IgG |
| Antibody Type | Polyclonal Antibody |
| Organism Species | Human |
| Concentration | – |
| Product Synonyms | FUBP1 |
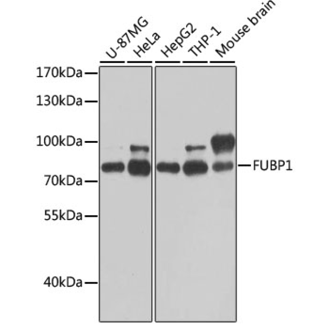
| Observed Mol Wt | 68kDa |
| Alternative Names | FBP; FUBP; hDH V; FUBP1 |
| Immunogen (Antigen) | Recombinant protein |
| Format | Liquid |
| Buffer Formulation | 50% glycerol, PBS with 0.02% sodium azide, pH7.3 |
| Reactivity | Human, Mouse, Rat |
| Uniprot ID | 8880 |
| Gene ID | Q96AE4 |
| Purification | Antigen-specific affinity chromatography followed by Protein A affinity chromatography |
| Usage | For Research Use Only. Not for diagnostics or human use. |
| Shelf Life | 12 months at time of shipping |
| Shipping | Shipped in Dry Ice at -20 Degree Celsius |
| Storage | Store at -20 Degree Celsius. It is recommended to aliquot and store to avoid repeated freeze-thaw as it affects the stability of the antibody. |
| Research Areas | Cell Biology, Developmental Biology, Immunology |
| KD/KO Validated | KD Validated |
| Disclaimer | The data indicated herein are as indicated and validated in our laboratory. These reagents are for research use only and not for in-vitro diagnostics or human use. |

![ABCG2 Rabbit Polyclonal Antibody [KD Validated]](https://www.kinesisdx.com/wp-content/uploads/2025/05/A23066_N21785-6_WB_01-370x444.jpg)
![Bcl-2 Rabbit Polyclonal Antibody [KD Validated]](https://www.kinesisdx.com/wp-content/uploads/2025/05/A21592_N1199-4C_WB_01-370x444.jpg)
![ABCA6 Rabbit Polyclonal Antibody [KD Validated]](https://www.kinesisdx.com/wp-content/uploads/2025/05/A21243_Q12592_WB_01-370x444.jpg)
![CAT1 Rabbit Polyclonal Antibody [KD Validated]](https://www.kinesisdx.com/wp-content/uploads/2025/05/A25422_N32165-5_WB_01-370x444.jpg)
![CDX2 Rabbit Polyclonal Antibody [KD Validated]](https://www.kinesisdx.com/wp-content/uploads/2025/05/A1629_MP3070-02_N14929_WB_01-370x444.jpg)
![EGFR Rabbit Polyclonal Antibody [KD Validated]](https://www.kinesisdx.com/wp-content/uploads/2025/05/A21740_aN1626-7_WB_01-370x444.jpg)
Reviews
There are no reviews yet.