This gene encodes a member of the GIT protein family, which interact with G protein-coupled receptor kinases and possess ADP-ribosylation factor (ARF) GTPase-activating protein (GAP) activity. GIT proteins traffic between cytoplasmic complexes, focal adhesions, and the cell periphery, and interact with Pak interacting exchange factor beta (PIX) to form large oligomeric complexes that transiently recruit other proteins. GIT proteins regulate cytoskeletal dynamics and participate in receptor internalization and membrane trafficking. This gene has been shown to repress lamellipodial extension and focal adhesion turnover, and is thought to regulate cell motility. This gene undergoes extensive alternative splicing to generate multiple isoforms, but the full-length nature of some of these variants has not been determined. The various isoforms have functional differences, with respect to ARF GAP activity and to G protein-coupled receptor kinase 2 binding.
| Pack Size | 100ul, 1ml, 20ul |
|---|---|
| Applications | ELISA, WB |
| Host Species | Rabbit |
| Ig Isotype | IgG |
| Antibody Type | Polyclonal Antibody |
| Organism Species | Human |
| Concentration | – |
| Product Synonyms | GIT2 |
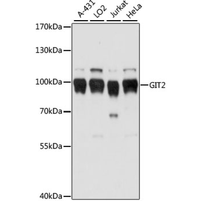
| Observed Mol Wt | 85kDa |
| Alternative Names | PKL; CAT2; CAT-2; GIT2 |
| Immunogen (Antigen) | Recombinant protein |
| Format | Liquid |
| Buffer Formulation | 50% glycerol, PBS with 0.01% thimerosal, pH7.3 |
| Reactivity | Human |
| Uniprot ID | 9815 |
| Gene ID | Q14161 |
| Purification | Antigen-specific affinity chromatography followed by Protein A affinity chromatography |
| Usage | For Research Use Only. Not for diagnostics or human use. |
| Shelf Life | 12 months at time of shipping |
| Shipping | Shipped in Dry Ice at -20 Degree Celsius |
| Storage | Store at -20 Degree Celsius. It is recommended to aliquot and store to avoid repeated freeze-thaw as it affects the stability of the antibody. |
| Research Areas | Cancer, Cell Biology, Immunology |
| KD/KO Validated | KD Validated |
| Disclaimer | The data indicated herein are as indicated and validated in our laboratory. These reagents are for research use only and not for in-vitro diagnostics or human use. |

![RHOT1/MIRO1 Rabbit Polyclonal Antibody [KD Validated]](https://www.kinesisdx.com/wp-content/uploads/2025/05/A22551_N1681810-11_WB_01-370x444.jpg)

![EGFR Rabbit Polyclonal Antibody [KD Validated]](https://www.kinesisdx.com/wp-content/uploads/2025/05/A11577_aN1626-8_KO-WB_01-370x444.jpg)
![COX7A2L Rabbit Polyclonal Antibody [KD Validated]](https://www.kinesisdx.com/wp-content/uploads/2025/05/A23681_N25896-4_WB_01-370x444.jpg)
![CDX2 Rabbit Polyclonal Antibody [KD Validated]](https://www.kinesisdx.com/wp-content/uploads/2025/05/A1629_MP3070-02_N14929_WB_01-370x444.jpg)
![EIF4B Rabbit Polyclonal Antibody [KD Validated]](https://www.kinesisdx.com/wp-content/uploads/2025/05/A25045_N31618-4_WB_03-370x444.jpg)
Reviews
There are no reviews yet.