Predicted to enable ATP binding activity. Located in extracellular exosome.
| Pack Size | 100ul, 1ml, 20ul |
|---|---|
| Applications | ELISA, WB |
| Host Species | Rabbit |
| Ig Isotype | IgG |
| Antibody Type | Monoclonal Antibody |
| Organism Species | Human |
| Concentration | – |
| Product Synonyms | HSPA12A |
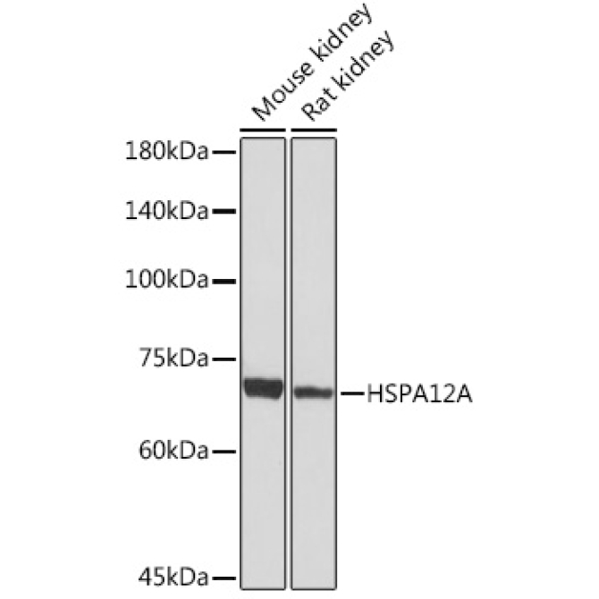
| Observed Mol Wt | 75kDa |
| Alternative Names | HSPA12A ; HSPA12A |
| Immunogen (Antigen) | synthetic peptide |
| Format | Liquid |
| Buffer Formulation | 0.05% BSA, 50% glycerol, PBS with 0.02% sodium azide, pH7.3 |
| Reactivity | Human, Mouse, Rat |
| Uniprot ID | 259217 |
| Gene ID | O43301 |
| Potency (Clone Number) | ARC2351 |
| Purification | Antigen-specific affinity chromatography followed by Protein A affinity chromatography |
| Usage | For Research Use Only. Not for diagnostics or human use. |
| Shelf Life | 12 months at time of shipping |
| Shipping | Shipped in Dry Ice at -20 Degree Celsius |
| Storage | Store at -20 Degree Celsius. It is recommended to aliquot and store to avoid repeated freeze-thaw as it affects the stability of the antibody. |
| Research Areas | Cell Biology, Developmental Biology, Immunology |
| KD/KO Validated | KD Validated |
| Disclaimer | The data indicated herein are as indicated and validated in our laboratory. These reagents are for research use only and not for in-vitro diagnostics or human use. |

![GPX4 Rabbit Monoclonal Antibody [KD Validated]](https://www.kinesisdx.com/wp-content/uploads/2025/05/A11243_ARC0558-03_WB_01-370x444.jpg)
![Heme Oxygenase 1 (HO-1/HMOX1) Rabbit Monoclonal Antibody [KD Validated]](https://www.kinesisdx.com/wp-content/uploads/2025/05/A19062_ARC53508-01_WB_01-370x444.jpg)
![IL13 Rabbit Monoclonal Antibody [KD Validated]](https://www.kinesisdx.com/wp-content/uploads/2025/05/A23415_ARC61007-01_KO-WB_01-370x444.jpg)

![KMT5A/SETD8 Rabbit Monoclonal Antibody [KD Validated]](https://www.kinesisdx.com/wp-content/uploads/2025/05/A4136_ARC0916_WB_01-370x444.jpg)
![Integrin alpha 5 (ITGA5/CD49e) Rabbit Monoclonal Antibody [KD Validated]](https://www.kinesisdx.com/wp-content/uploads/2025/05/A22706_ARC58291-01_WB_01-370x444.jpg)
Reviews
There are no reviews yet.