| Pack Size | 100ul, 1ml, 200ul, 20ul |
|---|---|
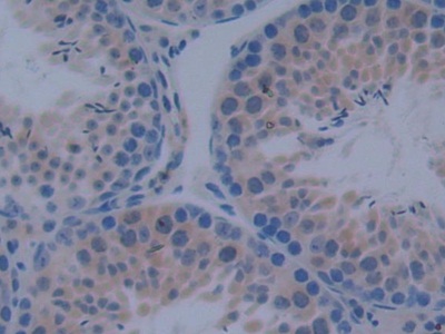
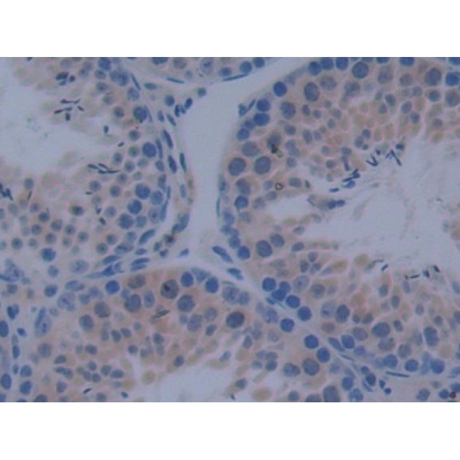
| Applications | WB; IHC; ICC; IP. |
| Host Species | Rabbit |
| Antibody Type | Polyclonal Antibody |
| Organism Species | Mus musculus (Mouse) |
| Concentration | 500 ug/ml |
| Product Synonyms | Inhibitory Subunit Of NF Kappa B Delta (IkBd) |
| Alternative Names | Delta; T-cell activation NFKB-like protein, NFKBID; IKBNS; TA-NFKBH; IkappaBNS; Nuclear Factor Of Kappa Light Polypeptide Gene Enhancer In B-Cells Inhibitor |
| Immunogen (Antigen) | Inhibitory Subunit Of NF Kappa B Delta |
| Buffer Formulation | 50% glycerol., containing 0.02% NaN3, PBS, pH7.4 |
| Uniprot ID | Q2TB02 |
| Gene ID | 243910 |
| Purification | Antigen-specific affinity chromatography followed by Protein A affinity chromatography |
| Usage | For Research Use Only. Not for diagnostics or human use. |
| Shelf Life | 12 months at time of shipping |
| Shipping | Shipped in Dry Ice at -20 Degree Celsius |
| Storage | Store at -20 Degree Celsius. It is recommended to aliquot and store to avoid repeated freeze-thaw as it affects the stability of the antibody. |
| Research Areas | Cancer, Cell Biology, Immunology |
| Disclaimer | The data indicated herein are as indicated and validated in our laboratory. These reagents are for research use only and not for in-vitro diagnostics or human use. |
Inhibitory Subunit Of NF Kappa B Delta (IkBd) Mouse Polyclonal Antibody
Price range: $20.00 through $210.00

![CDX2 Rabbit Polyclonal Antibody [KD Validated]](https://www.kinesisdx.com/wp-content/uploads/2025/05/A1629_MP3070-02_N14929_WB_01-370x444.jpg)
![DNMT1 Rabbit Polyclonal Antibody [KD Validated]](https://www.kinesisdx.com/wp-content/uploads/2025/05/A16729_aN2135-5_WB_04-370x444.jpg)
![SFRP2 Rabbit Polyclonal Antibody [KD Validated]](https://www.kinesisdx.com/wp-content/uploads/2025/05/A22017_N18465_KO-WB_01-370x444.jpg)
![CTCF Rabbit Polyclonal Antibody [KD Validated]](https://www.kinesisdx.com/wp-content/uploads/2025/05/A18627_N6060-4_KO-WB_01-370x444.jpg)
![COMT Rabbit Polyclonal Antibody [KD Validated]](https://www.kinesisdx.com/wp-content/uploads/2025/05/A23600_N27285-4_WB_01-370x444.jpg)
![EIF4B Rabbit Polyclonal Antibody [KD Validated]](https://www.kinesisdx.com/wp-content/uploads/2025/05/A25045_N31618-4_WB_03-370x444.jpg)
Reviews
There are no reviews yet.