This gene encodes an aminotransferase that transaminates kynurenine to form kynurenic acid, which is a metabolite of tryptophan. Multiple alternatively spliced transcript variants that encode different proteins have been described for this gene. This gene shares 5′ exon structure with the RNA binding motif protein, X-linked-like 1 locus on chromosome 1, but the coding sequences are non-overlapping.
| Pack Size | 100ul, 1ml, 20ul |
|---|---|
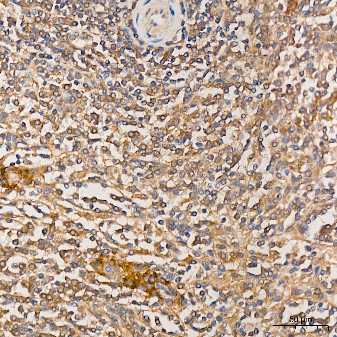
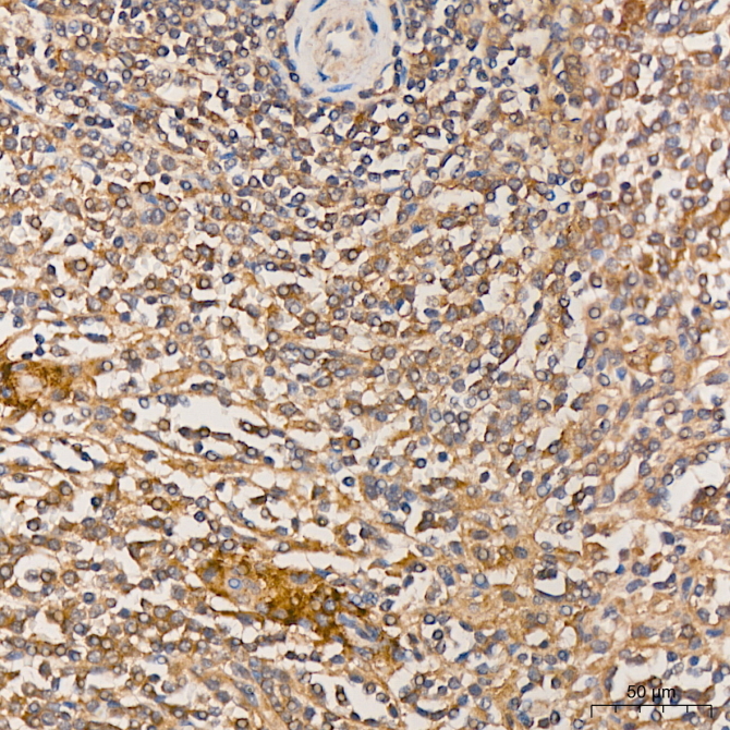
| Applications | ELISA, IF/ICC, IHC-P |
| Host Species | Rabbit |
| Ig Isotype | IgG |
| Antibody Type | Polyclonal Antibody |
| Organism Species | Human |
| Concentration | – |
| Product Synonyms | KYAT3 |
| Observed Mol Wt | 51kDa |
| Alternative Names | KAT3; CCBL2; KATIII |
| Immunogen (Antigen) | synthetic peptide |
| Format | Liquid |
| Buffer Formulation | 50% glycerol, PBS with 0.05% proclin300, pH7.3 |
| Reactivity | Human, Mouse |
| Uniprot ID | 56267 |
| Gene ID | Q6YP21 |
| Purification | Antigen-specific affinity chromatography followed by Protein A affinity chromatography |
| Usage | For Research Use Only. Not for diagnostics or human use. |
| Shelf Life | 12 months at time of shipping |
| Shipping | Shipped in Dry Ice at -20 Degree Celsius |
| Storage | Store at -20 Degree Celsius. It is recommended to aliquot and store to avoid repeated freeze-thaw as it affects the stability of the antibody. |
| Research Areas | Cancer; Cell Biology; Immunology |
| KD/KO Validated | KD Validated |
| Disclaimer | The data indicated herein are as indicated and validated in our laboratory. These reagents are for research use only and not for in-vitro diagnostics or human use. |

![Bcl-2 Rabbit Polyclonal Antibody [KD Validated]](https://www.kinesisdx.com/wp-content/uploads/2025/05/A21592_N1199-4C_WB_01-370x444.jpg)
![SFRP2 Rabbit Polyclonal Antibody [KD Validated]](https://www.kinesisdx.com/wp-content/uploads/2025/05/A22017_N18465_KO-WB_01-370x444.jpg)
![Bcl9 Rabbit Polyclonal Antibody [KD Validated]](https://www.kinesisdx.com/wp-content/uploads/2025/05/A25229_N31416-5_WB_01-370x444.jpg)
![DNMT1 Rabbit Polyclonal Antibody [KD Validated]](https://www.kinesisdx.com/wp-content/uploads/2025/05/A16729_aN2135-5_WB_04-370x444.jpg)
![ABCG2 Rabbit Polyclonal Antibody [KD Validated]](https://www.kinesisdx.com/wp-content/uploads/2025/05/A23066_N21785-6_WB_01-370x444.jpg)

Reviews
There are no reviews yet.