Severe acute respiratory syndrome coronavirus 2 (SARS-CoV-2) is an enveloped, positive-sense, single-stranded RNA virus that causes coronavirus disease 2019 (COVID-19). Virus particles include the RNA genetic material and structural proteins needed for invasion of host cells. Once inside the cell the infecting RNA is used to encode structural proteins that make up virus particles, nonstructural proteins that direct virus assembly, transcription, replication and host control and accessory proteins whose function has not been determined.~ ORF1ab, the largest gene, contains overlapping open reading frames that encode polyproteins PP1ab and PP1a. The polyproteins are cleaved to yield 16 nonstructural proteins, NSP1-16. Production of the longer (PP1ab) or shorter protein (PP1a) depends on a -1 ribosomal frameshifting event. The proteins, based on similarity to other coronaviruses, include the papain-like proteinase protein (NSP3), 3C-like proteinase (NSP5), RNA-dependent RNA polymerase (NSP12, RdRp), helicase (NSP13, HEL), endoRNAse (NSP15), 2′-O-Ribose-Methyltransferase (NSP16) and other nonstructural proteins. SARS-CoV-2 nonstructural proteins are responsible for viral transcription, replication, proteolytic processing, suppression of host immune responses and suppression of host gene expression. The RNA-dependent RNA polymerase is a target of antiviral therapies.
| Pack Size | 100ul, 1ml, 20ul |
|---|---|
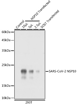
| Applications | ELISA, IP, WB |
| Host Species | Rabbit |
| Ig Isotype | IgG |
| Antibody Type | Polyclonal Antibody |
| Product Synonyms | SARS-CoV-2 NSP10 |
| Observed Mol Wt | 794kDa |
| Immunogen (Antigen) | Recombinant protein |
| Format | Liquid |
| Buffer Formulation | 50% glycerol, PBS with 0.05% proclin300, pH7.3 |
| Reactivity | SARS-CoV-2 |
| Uniprot ID | 43740578 |
| Gene ID | P0DTD1 |
| Purification | Antigen-specific affinity chromatography followed by Protein A affinity chromatography |
| Usage | For Research Use Only. Not for diagnostics or human use. |
| Shelf Life | 12 months at time of shipping |
| Shipping | Shipped in Dry Ice at -20 Degree Celsius |
| Storage | Store at -20 Degree Celsius. It is recommended to aliquot and store to avoid repeated freeze-thaw as it affects the stability of the antibody. |
| KD/KO Validated | KD Validated |
| Disclaimer | The data indicated herein are as indicated and validated in our laboratory. These reagents are for research use only and not for in-vitro diagnostics or human use. |

![EGFR Rabbit Polyclonal Antibody [KD Validated]](https://www.kinesisdx.com/wp-content/uploads/2025/05/A11082_N11999-5_WB_01-370x444.jpg)
![CDX2 Rabbit Polyclonal Antibody [KD Validated]](https://www.kinesisdx.com/wp-content/uploads/2025/05/A1629_MP3070-02_N14929_WB_01-370x444.jpg)
![CTCF Rabbit Polyclonal Antibody [KD Validated]](https://www.kinesisdx.com/wp-content/uploads/2025/05/A18627_N6060-4_KO-WB_01-370x444.jpg)
![CYB5R3 Rabbit Polyclonal Antibody [KD Validated]](https://www.kinesisdx.com/wp-content/uploads/2025/05/A24755_N30496-4_WB_01-370x444.jpg)

![COMT Rabbit Polyclonal Antibody [KD Validated]](https://www.kinesisdx.com/wp-content/uploads/2025/05/A23600_N27285-4_WB_01-370x444.jpg)
Reviews
There are no reviews yet.