The protein encoded by this gene is a nuclear import receptor for serine/arginine-rich (SR) proteins such as the splicing factors SFRS1 and SFRS2. The encoded protein has also been shown to be involved in HIV-1 infection, apparently through interaction with the HIV-1 capsid protein. Several protein-coding and non-coding transcript variants have been found for this gene.
| Pack Size | 100ul, 1ml, 20ul |
|---|---|
| Applications | ELISA, IF/ICC, IHC-P, WB |
| Host Species | Rabbit |
| Ig Isotype | IgG |
| Antibody Type | Monoclonal Antibody |
| Organism Species | Human |
| Product Synonyms | Transportin 3 (TNPO3) |
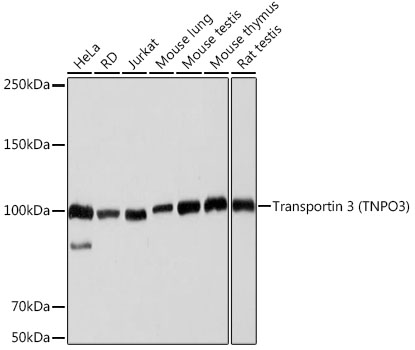
| Observed Mol Wt | 104kDa |
| Alternative Names | IPO12; TRNSR; LGMD1F; LGMDD2; MTR10A; TRN-SR; TRN-SR2; Transportin 3 (TNPO3) |
| Immunogen (Antigen) | synthetic peptide |
| Format | Liquid |
| Buffer Formulation | 0.05% BSA, 50% glycerol, PBS with 0.02% sodium azide, pH7.3 |
| Reactivity | Human, Mouse, Rat |
| Uniprot ID | 23534 |
| Gene ID | Q9Y5L0 |
| Potency (Clone Number) | ARC2310 |
| Purification | Antigen-specific affinity chromatography followed by Protein A affinity chromatography |
| Usage | For Research Use Only. Not for diagnostics or human use. |
| Shelf Life | 12 months at time of shipping |
| Shipping | Shipped in Dry Ice at -20 Degree Celsius |
| Storage | Store at -20 Degree Celsius. It is recommended to aliquot and store to avoid repeated freeze-thaw as it affects the stability of the antibody. |
| Research Areas | Cancer, Cell Biology, Immunology |
| KD/KO Validated | KD Validated |
| Disclaimer | The data indicated herein are as indicated and validated in our laboratory. These reagents are for research use only and not for in-vitro diagnostics or human use. |

![Bid Rabbit Monoclonal Antibody [KD Validated]](https://www.kinesisdx.com/wp-content/uploads/2025/05/A23234_ARC59702-01_WB_01-370x444.jpg)
![ERK1 Rabbit Monoclonal Antibody [KD Validated]](https://www.kinesisdx.com/wp-content/uploads/2025/05/A19561_ARC2591_WB_01-370x444.jpg)
![Heme Oxygenase 1 (HO-1/HMOX1) Rabbit Monoclonal Antibody [KD Validated]](https://www.kinesisdx.com/wp-content/uploads/2025/05/A19062_ARC53508-01_WB_01-370x444.jpg)
![DNMT1 Rabbit Monoclonal Antibody [KD Validated]](https://www.kinesisdx.com/wp-content/uploads/2025/05/A19679_ARC51348-01_WB_02-370x444.jpg)
![MCM6 Rabbit Monoclonal Antibody [KD Validated]](https://www.kinesisdx.com/wp-content/uploads/2025/05/A21112_ARC3057_WB_01-370x444.jpg)
![BUB1 Rabbit Monoclonal Antibody [KD Validated]](https://www.kinesisdx.com/wp-content/uploads/2025/05/A23198_ARC59688-01_KO-WB_01-370x444.jpg)
Reviews
There are no reviews yet.