This gene is a member of the peptidase C19 family and encodes a protein that is similar to ubiquitin-specific proteases. Though this gene is located on the X chromosome, it escapes X-inactivation. Mutations in this gene have been associated with Turner syndrome. Alternate transcriptional splice variants, encoding different isoforms, have been characterized.
| Pack Size | 100ul, 1ml, 20ul |
|---|---|
| Applications | ELISA, IF/ICC, IHC-P, WB |
| Host Species | Rabbit |
| Ig Isotype | IgG |
| Antibody Type | Monoclonal Antibody |
| Organism Species | Human |
| Product Synonyms | USP9X |
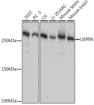
| Observed Mol Wt | 290kDa |
| Alternative Names | FAF; FAM; hFAM; DFFRX; MRX99; XLID99; MRXS99F; USP9X |
| Immunogen (Antigen) | synthetic peptide |
| Format | Liquid |
| Buffer Formulation | 0.05% BSA, 50% glycerol, PBS with 0.02% sodium azide, pH7.3 |
| Reactivity | Human, Mouse, Rat |
| Uniprot ID | 8239 |
| Gene ID | Q93008 |
| Potency (Clone Number) | ARC1748 |
| Purification | Antigen-specific affinity chromatography followed by Protein A affinity chromatography |
| Usage | For Research Use Only. Not for diagnostics or human use. |
| Shelf Life | 12 months at time of shipping |
| Shipping | Shipped in Dry Ice at -20 Degree Celsius |
| Storage | Store at -20 Degree Celsius. It is recommended to aliquot and store to avoid repeated freeze-thaw as it affects the stability of the antibody. |
| Research Areas | Neuroscience |
| KD/KO Validated | KD Validated |
| Disclaimer | The data indicated herein are as indicated and validated in our laboratory. These reagents are for research use only and not for in-vitro diagnostics or human use. |


![Annexin A1/ANXA1 Rabbit Monoclonal Antibody [KD Validated]](https://www.kinesisdx.com/wp-content/uploads/2025/05/A25918_ARC66904-01_WB_01-370x444.jpg)
![EGFR Rabbit Monoclonal Antibody [KD Validated]](https://www.kinesisdx.com/wp-content/uploads/2025/05/A23452_ARC56230-01_KO-WB_01-370x444.jpg)
![EIF2AK1 Rabbit Monoclonal Antibody [KD Validated]](https://www.kinesisdx.com/wp-content/uploads/2025/05/A24614_ARC62929-01_KO-WB_01-370x444.jpg)
![IL13 Rabbit Monoclonal Antibody [KD Validated]](https://www.kinesisdx.com/wp-content/uploads/2025/05/A23415_ARC61007-01_KO-WB_01-370x444.jpg)
![BUB1 Rabbit Monoclonal Antibody [KD Validated]](https://www.kinesisdx.com/wp-content/uploads/2025/05/A23198_ARC59688-01_KO-WB_01-370x444.jpg)
Reviews
There are no reviews yet.